เรื่องต่อไปลุงหมอขอรับหน้าที่อธิบายเอง
ดีกว่านะ ก็จะเป็นเรื่องเอนไซม์กับการแพทย์
           เอนไซม์ถูกนำมาใช้เพื่อประโยชน์ในทางการแพทย์และการวิจัย  โดย อาจใช้เป็นตัวบ่งชี้โรคหรือใช้ในการวิเคราะห์หาปริมาณสาร

            อาศัยหลักการที่ว่าโดยปกติจะพบเอนไซม์ในเนื้อเยื่อแแต่จะพบน้อยในซีรัม พลาสมา ปัสสาวะ และน้ำลาย ดังนั้นเมื่อเนื้อเยื่อเซลล์แตกหรือถูกทำลาย จึงทำให้เอนไซม์เข้าสู่กระแสเลือดหรือของเหลวต่างๆในร่างกาย ดังนั้นจึงสามารถตรวจหาระดับของเอนไซม์ในของเหลวนั้นๆ เพื่อประกอบการวินิจฉัยหรือบ่งชี้ถึงโรคได้

            อาศัยหลักการที่ว่าเอนไซม์มีความจำเพาะต่อซับสเตรต ดังนั้นจึงสามารถนำไปวิเคราะห์หาปริมาณ สารต่างๆ ได้

 
หนูดี อยากรู้ว่า ถ้าร่างกายเราขาดเอนไซม์บางชนิดไปทำให้เกิดโรคอะไรได้บ้างค่ะ



โรคที่เกิดจากการขาดเอนไซม์มีหลายโรค
ด้วยกัน ลุงหมอจะยกตัวอย่างโรคที่สำคัญ
แล้วกันนะ


ภาวะพร่องเอนไซม์ จี-6-พีดี (G-6-PD Deficiency)
                 G-6-PD ย่อมาจาก Glucose-6-phosphate dehydrogenase : EC 1.1.1.49      
        
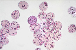
          เป็นเอนไซม์ในเมตาบอลิซึมของกลูโคส พบทั่วไปในเซลล์ของร่างกาย ในที่นี้ จะกล่าวเฉพาะในเม็ดเลือดแดงเท่านั้น ถ้าขาดเอนไซม์G-6-PD จะทำให้เม็ดเลือดแดงเปราะและแตกง่าย (hemolysis) ทำให้เกิดภาวะโลหิตจาง โรคนี้ถ่ายทอดทางกรรมพันธุ์แบบ X-linked จึงมักพบในเพศชาย ส่วนเพศหญิงจะเป็นเพียงพาหะของโรค ยกเว้นถ้าผู้หญิงคนนั้นมีโครโมโซม X ที่เป็นโรคทั้งสองตัว พบประมาณ ร้อยละ 2.8-17.5 ของประชากรทั้งหมด และคาดว่าคนไทยพบโดยเฉลี่ยประมาณร้อยละ 13  ปกติแล้วภาวะพร่องเอนไซม์ G-6-PD ไม่ทำให้เกิดโรคใด ๆ แต่ถ้าร่างกายได้รับสิ่งกระตุ้น  ตัวอย่างเช่น การติดเชื้อ (ปอดอักเสบ มาลาเรีย ไทฟอยด์ ตับอักเสบ) การได้รับยาบางชนิด (แอสไพริน คลอแรมเฟนิคอล) สารเคมีบางชนิด(ลูกเหม็น จุนสี) อาหารบางชนิด (ถั่วปากอ้าดิบ) จะทำให้เม็ดเลือดแดงแตกเป็นจำนวนมาก จนอาจเกิดภาวะโลหิตจางชนิด hemolytic anemia ได้เนื่องจาก G-6-PD เป็นเอนไซม์แรกในวิถีเพนโตสฟอสเฟต ซึ่งสร้าง NADH ดังนั้น ถ้ามี G-6-PD ในเม็ดเลือดแดงต่ำ จะทำให้ระดับของ NADH ต่ำไปด้วย ประสิทธิภาพในการกำจัดไฮโดรเจนเปอร์ออกไซด์ ที่เป็นพิษต่อเยื่อหุ้มเซลล์ลดต่ำลง จึงเกิดอาการของเม็ดเลือดแดงแตกนั่นเอง



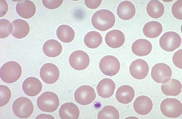
              ภาพ เม็ดเลือดแดงปกติ

ภาพ เม็ดเลือดแดงแตก
เนื่องจากภาวะพร่องเอนไซม์ G-6-PD
 



โรคฟีนิลคีโตนููเรีย

        หรือ PKU ซึ่งย่อมาจาก phenylketonuria

       เป็นโรคที่เกิดจากการขาดเอนไซม์ฟีนิลอลานินไฮดรอกซีเลส (phenylalanine hydroxylase : EC 1.14.16.1 ) ที่ตับเป็นผู้ผลิต เอนไซม์นี้เร่งปฏิกิริยาการเติมหมู่ไฮดรอกซิล (-OH) ให้กับกรดอะมิโนฟีนิลอะลานีน (phenylalanine) ได้ผลิตภัณฑ์เป็นกรดอะมิโนไทโรซีน (tyrosine) เมื่อขาดเอนไซม์นี้จึงทำให้ไม่สามารถเปลี่ยนกรดอะมิโนฟีนิลอะลานีนไปเป็นไทโรซีนได้ ฟีนิลอะลานีนจึงถูกเอนไซม์อื่นเปลี่ยนเป็นฟีนิลไพรูเวต (phenylpyruvate) ทำให้เกิดการสะสมของสารฟีนิลไพรูเวตนี้มาก ทั้งในกระแสเลือดและเนื้อเยื่อต่างๆ บางส่วนจะถูกขับออกทางปัสสาวะ แพทย์สามารถตรวจปริมาณกรดอะมิโนฟีนิลอะลานีนในเลือดได้ว่ามีเกินมาตรฐานหรือไม่ โดยทารกที่เป็นโรคพีเคยู ปริมาณของฟีนิลอะลานีนในเลือดจะสูงขึ้นอย่างรวดเร็ว เกินกว่าระดับ 20 มก.ต่อเลือด 100 มล. หากไม่ได้รับการบำบัดรักษาอาจสูงขึ้นถึง 20 - 80 มก. ต่อ 100 มล. เด็กที่เป็นโรคนี้มีเซลล์สมองที่เจริญช้าผิดปกติ เป็นสาเหตุให้ปัญญาอ่อน ภาวะนี้สามารถตรวจพบได้ภายในสัปดาห์แรกหลังคลอด จึงสามารถป้องกันภาวะปัญญาอ่อนได้ โดยให้อาหารที่มีกรดอะมิโนฟีนิลอะลานีนในปริมาณที่จำกัด เนื่องจากกรดอะมิโนชนิดนี้ยังจำเป็นต้องใช้ในการเจริญเติบโตของทารก ดังนั้นจะไม่ให้ทารกได้รับเลยจึงไม่ได้ จึงทำได้เพียงจำกัดปริมาณให้เหมาะสมเท่านั้น

 



โรคแอลแคปโตนููเรีย (alkaptonuria)

       เป็นโรคที่ขาดเอนไซม์ โฮโมเจนทิเสต ไดออกซีจิเนส (homogentisate dioxygenase, homogentisic acid oxidase : EC 1.13.11.5 ) เป็นโรคที่เห็นได้ชัดในเด็กทารก คือ เมื่อเด็กปัสสาวะออกมา แล้วปัสสาวะนั้นถูกกับอากาศก็จะกลายเป็นสีดำ อีกทั้งบริเวณตามข้อต่อของร่างกายจะเป็นปื้นดำคล้ายกับเป็นรอยช้ำ อาการเช่นนี้เกิดจากทารกมีกรดโฮโมเจนทิซิค หรือสารที่เรา เรียกว่า แอลแคปตอน (alkapton) สะสมอยู่ในปัสสาวะมาก



นี่คือตัวอย่างโรคที่เกิดจากขาดเอนไซม์
ที่สำคัญต่อไปลุงจะพูดถึงการนำเอนไซม์
มาใช้ในการวิเคราะห์หาปริมาณสารก่อนนะ

 

การใช้เอนไซม์กลูโคสออกซิเดส และเอนไซม์เปอร์ออกซิเดส

เพื่อวิเคราะห์หาปริมาณน้ำตาลกลูโคสในเลือดและปัสสาวะ      

      เอนไซม์กลูโคสออกซิเดส (glucose oxidase : EC 1.1.3.4 ) เร่งปฏิกิริยาการออกซิไดซ์ กลูโคส (-D-glucose) ได้กลูโคโนแลคโตน (D-gluconolactone) โดยมีออกซิเจนเป็นตัวรับอิเล็กตรอนและเกิดเป็นไฮโดรเจนเปอร์ออกไซด์ (H2O2) จากนั้นเอนไซม์เปอร์ออกซิเดส (peroxidase : EC 1.11.1.7 ) จะเปลี่ยนไฮโดรเจนเปอร์ออกไซด์ให้เป็นน้ำ (H2O)และนาสเซนต์ ออกซิเจน (nascent oxygen) ซึ่งจะไปออกซิไดซ์สี โอไดแอนนิซิดีน (O-dianisidine) ซึ่งเมื่อเติมกรดลงไปจะให้สีชมพู เราสามารถวัดปริมาณกลูโคสที่มีในสารละลายจากการวัดสีที่เกิดขึ้นนี้เอง

      วิธีนี้เป็นวิธีที่นิยมใช้กันมาก เนื่องจากเอนไซม์กลูโคสออกซิเดสมีความจำเพาะต่อกลูโคสสูง สะดวก ปลอดภัย และง่าย นอกจากนี้ยังสามารถวัดปริมาณของกลูโคสที่อยู่ในสารละลายที่มีปริมาณน้อยๆได้ (ระดับไมโครกรัม) แต่ในปัจจุบันมีเครื่องที่สามารถวัดปริมาณกลูโคสได้จากเลือดเพียงหยดเดียว วิธีการก็คือ ตรึงเอนไซม์กลูโคสออกซิเดสไว้บนแผ่นโลหะที่ต่อกับวงจรอิเล็กทรอนิกส์ เมื่อหยดเลือดลงบนแผ่นโลหะแล้วปฏิกิริยาการเปลี่ยนน้ำตาลกลูโคสโดยเอนไซม์ก็จะเกิดขึ้น ทำให้เกิดสัญญาณไฟฟ้าเพื่อบอกปริมาณกลูโคสในเลือดได้เลยภายในเวลาไม่นานนัก



 

สมการการตรวจหาปริมาณน้ำตาลกลูโคส โดยใช้เอนไซม์กลูโคสออกซิเดส และเปอร์ออกซิเดส

               

                      นอกจากนี้ ในปัจจุบันการใช้เอนไซม์ในการวิเคราะห์สารได้พัฒนาไปมาก เช่นการตรึงเอนไซม์ เพื่อใช้เป็นอิเล็คโทรด สำหรับวิเคราะห์สารต่าง ๆ เรียกว่าเอนไซม์อิเล็กโทรด(enzyme electrode) หรือ ไบโอเซนเซอร์ (biosensor) ที่ได้กล่าวมาแล้วในย่อหน้าก่อนหน้านี้ หรือการใช้วิธีเอนไซม์อิมมูโนแอสเซ (enzyme linked immunosorbent assay : ELISA) เป็นวิธีที่ใช้ แอนติบอดีที่มีเอนไซม์ติดฉลากอยู่จับกับสารที่ต้องการวิเคราะห์อย่างจำเพาะ จากนั้นจะหาปริมาณสารนั้นจากสีที่เกิดขึ้นในปฏิกิริยาของเอนไซม์



ต่อไปลุงหมอจะบอกตัวอย่างของเอนไซม์ที่อยู่ในพลาสมา ที่สามารถใช้เป็นตัวบ่งชี้โรคนะ

 

เอนไซม์ที่อยู่ในพลาสมา ที่สามารถใช้เป็นตัวบ่งชี้โรค

1. lipase อาจมีค่าต่ำในโรคตับ ตับอ่อน ขาดวิตามินเอ เบาหวานและมะเร็งบางชนิด

2. transaminases เอนไซม์ที่สำคัญในพลาสมาจะมีสองชนิดคือ glutamic oxaloacetic transaminase (GOT) และ glutamic pyrumic transaminase (GPT) โดยปกติในเลือดจะมีปริมาณน้อย แต่เมื่อเนื้อเยื่อถูกทำลาย ปริมาณเอนไซม์นี้จะสูงขึ้น และเมื่อกล้ามเนื้อหัวใจฉีกขาด หัวใจวาย GOT ก็จะสูงขึ้น

3. LDH isoenzymes จะใช้ในการติดตามความเสื่อมของเนื้อเยื่อหัวใจ เช่น เมื่อเกิดอาการกล้ามเนื้อหัวใจฉีกขาด หัวใจวาย ระดับไอโซเอนไซม์ LDH ที่ชื่อ H4และ H3M ในเลือดจะสูงขึ้น

4. amylase อาจมีค่าต่ำในโรคตับ แต่จะมีค่าสูงในโรคลำไส้เล็กอุดตัน ตับอ่อนอักเสบ และเบาหวาน

5. creatine phosphokinase อาจมีค่าสูงในโรคที่เกี่ยวกับกล้ามเนื้อลายและกล้ามเนื้อหัวใจ

 

 

ลุงหมอค่ะ แล้วมีเอนไซม์ที่ใช้เป็นยารักษาโรคหรือไม่ค่ะ

มีจ๊ะ ลุงหมอจะบอกตัวอย่างเอนไซม์ที่เกี่ยวข้องกับการรักษาโรคนะ

 

เอนไซม์ที่เกี่ยวข้องกับการรักษาโรค

1. ยาช่วยย่อยอาหาร เกิดจากการนำ เอนไซม์อะไมเลส (amylase) ซึ่งเป็นเอนไซม์ที่ใช้ย่อยแป้ง นำมาร่วมกับเอนไซม์ประเภทโปรตีเอส (protease) ซึ่งใช้ย่อยโปรตีน เกิดเป็นยาที่ช่วยย่อยอาหารขึ้น

2. การรักษามะเร็งหรือเนื้องอกบางชนิด เช่น มะเร็งเม็ดเลือดขาว (acute lymphoblastic leukemia : ALL) สามารถใช้เอนไซม์แอสพาราจิเนส (asparaginase) ซึ่งเร่งปฏิกิริยาการเปลี่ยนแอสพาราจีน (asparagine : Asn) ให้เป็นกรดแอสพาติก (aspartic acid : Asp) เพราะปกติเซลลมะเร็งจะได้รับ Asn จากกระแสเลือดเป็นหลัก เมื่อผู้ป่วยได้รับเอนไซม์นี้จะทำให้ Asn ลดลงเนื่องจากถูกเปลี่ยนแปลงไป ทำให้เซลล์มะเร็งไม่ได้รับ Asn อย่างเพียงพอ เซลล์มะเร็งก็จะตายในที่สุด

3.ในการรักษาโรคลิ่มเลือดอุดตันในหลอดเลือดต่างๆ จะใช้เอนไซม์ สเต็บโตไคเนส (streptokinase) และยูโรไคเนส (urokinase) ซึ่งเป็นเอนไซม์ที่กระตุ้นพลาสมิโนเจน (plasminogen) ในเลือดให้เปลี่ยนเป็นพลาสมิน (plasmin) ซึ่งสามารถย่อย ไฟบริน (fibrin) และ ไฟบริโนเจน (fibrinogen) ได้ เนื่องจากลิ่มเลือดประกอบด้วยไฟบริโนเจนที่มีไฟบรินพันอยู่จึงจับกันเป็นก้อน ทำให้เกิดการอุดตันอยู่ในเส้นเลือด ทำให้เลือดเดินทางผ่านบริเวณนั้นไม่สะดวก เมื่อใช้เอนไซม์ไปกระตุ้นก็จะการสร้างพลาสมิน เพื่อไปย่อยสลายเส้นใยไฟบริน ทำให้ลิ่มเลือดกลายเป็นชิ้นเล็กๆ เลือดก็จะเดินทางผ่านในบริเวณนั้นได้สะดวกขึ้น

4. เอนไซม์ทริปซินและไคโมทริปซิน ซึ่งเป็นเอนไซม์ที่ย่อยโปรตีน สามารถใช้ในการกำจัดเนื้อเยื่อที่ตายแล้วในบริเวณแผล ฝี หนอง และลดการอักเสบและบวมได้